Dott. Andrea Adriano BRACCO

QUALE APPARECCHIO E QUANDO?

L'apparecchio ortodontico è uno strumento con il quale l'Ortodontista riesce ad allineare i denti, al fine di ottenere una masticazione corretta e funzionale, una migliore igiene orale e una migliore estetica del sorriso.

​

Esistono due grandi famiglie di trattamenti ortodontici.

​

​

FASE INTERCETTIVA - L’ORTODONZIA FUNZIONALE E/O ORTOPEDICA,

 che si applica, principalmente, in pazienti in crescita, fondamentale per correggere “abitudini viziate”, discrepanze ossee/scheletriche, e gravi carenze di spazio; impiega apparecchi in genere rimovibili, avvalendosi delle stesse forze muscolari per guidare la crescita e lo sviluppo della mascella e della mandibola e di conseguenza favorire il corretto riposizionamento dei denti. 

​

​

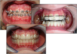
FASE CORRETTIVA - L’ORTODONZIA DI ALLINEAMENTO

in genere applicata in pazienti con dentatura permanente, si avvale o delle tradizionali apparecchiature fisse che solamente il dentista può rimuovere o di allineatori  traparenti rimovibili. 

​

Gli apparecchi fissi, tramite forze meccaniche di fili ortodontici, molle ed elastici, permettono il movimento e il riposizionamento dentale. 

​

Gli allineatori Invisibili, o quasi, sono delle mascherine trasparenti (aligner) e sono oramai la miglior soluzione terapeutica alternativa all’ortodonzia fissa tradizionale; il trattamento si compone di una serie di “aligner” rimovibili che vengono sostituiti circa a cadenza settimanale. Ogni mascherina è realizzata appositamente e soltanto per i denti del paziente grazie ad un programma di trattamento virtuale 3D che permette di sapere in anticipo quale sarà la posizione e l'aspetto dei denti al termine del trattamento. Man mano che si sostituiscono le mascherine, i denti si muovono e settimana dopo settimana si raggiunge l’allineamento dei denti finale definito dall’Ortodontista.

​

Questa fase si può avvalere eventualmente anche di estrazioni "strategiche" di elementi dentali sani, allo scopo di creare uno spazio indispensabile al buon allineamento dei denti malposti.

​

​

quindi, un trattamento ortognatodontico può essere composto da una delle due fasi o da entrambe: la prima funzionale/ortopedica e la seconda correttiva di allineamento.

​

​

​

TIMING:

Molto spesso nella pratica quotidiana ci si trova a dover rispondere alle domande: “ Non è troppo presto per l’apparecchio visto che ha ancora i denti da latte? “ oppure “ Sono in ritardo, sarebbe stato meglio iniziare prima?”.

​

Non esistono regole fisse e prestabilite e nemmeno l’età perfetta in assoluto. Il "timing", cioè il periodo giusto per iniziare il trattamento, dipende solo dal tipo di problematica che dobbiamo affrontare, indipendentemente dal tipo di dentatura del paziente (permanente, decidua o “ da latte “ oppure mista).

 

Esistono delle problematiche che devono essere risolte il prima possibile, cioè non appena si vede il paziente ed esiste un minimo di collaborazione ed altre dove non esistono, in linea di massima, limitazioni legate all’età.

​

​

Proprio per questo motivo quindi si consiglia una visita dall’Ortodontista già dai 4/6 anni.

​